广州华美医疗美容医院 版权所有 粤ICP备10235314号 粤(A)广(2021)第074号
医院地址:广州市天河区黄埔大道西493号(国防大厦公交2站) 美丽热线:020-61999999
copyright 2006-2021 广州华美医疗美容医院 Map
7月28-29日,意种植牙医师【罗萨蒂】坐诊,限量约诊!
来源:广州华美 作者: 发表时间:2018-07-21 点击数:次
牙齿伴随着我们一生,牙齿存在问题是非常痛苦的事,不仅会导致咀嚼功能下降,还有影响发音、健康、面容...
7月28-29日,罗萨蒂将坐诊广州华美,在与华美口腔医师进行学术交流之余,接受限量种植牙修复等口腔预约, 让你不出羊城即可享受欧洲名流优质口腔服务。

医师头衔:
意大利口腔种植医师
国际口腔种植学会会员
广州华美口腔首席国际种植医师
意大利口腔种植医学博士 主任
牙科联盟特邀种植牙学术演讲嘉宾
预约项目:单颗缺失牙、多颗缺失牙、半口及全口缺失牙种植。
lfredo Rosati是卫生组织与牙科联盟“8020计划”欧洲地区指定种植牙医师,负责欧洲地区的种植牙技术推广与临床培训。毕业于意大利的比萨大学( University of Pisa),并在热那亚大学( University of Genoa )研修先进的骨重建技术,曾获邀赴美做学术交流,在有口腔种植医师摇篮和美誉的美国布法罗大学(University at Buffalo)担任客座医师。
从业30余年,专注于种植牙技术临床应用和研究卫生组织与牙科联盟“8020计划”欧洲地区指定种植牙医师。
他已发表关于种植牙及牙齿美学修复等论文上百篇,尤其在美学修复领域颇有建树。常年为意大利名流提供微创即刻种植牙及牙齿美学修复服务,在意大利乃至欧洲名流阶层享誉盛名。
罗萨蒂博士主打意式美学种植系统

意式种植:艺术与技术结合
意式美学种植系统,拥有意大利美学与精密技术相结合,把牙齿种植上升至审美高度,舒适美观、微创无痛、即刻拥有、坚固持久的特点。
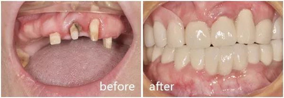
更多真实案例




整牙>整容,一口好牙,为颜值加分
活动时间:2018年7月1日—8月31日
1.超声波洁牙/舒适前牙拔出/3M树脂补牙(3选1) 66元;
2.暑期矫正6600元,隐形矫正直降16000元;
3.精品美容牙冠 680元,塑美美白瓷贴面1送1;
4.进口品牌种植牙(含牙冠)3300元,升级全瓷冠享6折。
7月28/29日,意种植牙医师【罗萨蒂】与您相约华美,
不出羊城即可享受欧洲贵族种植牙体验,





















